1720 Milwaukee Ave, Glenview, IL - 60025

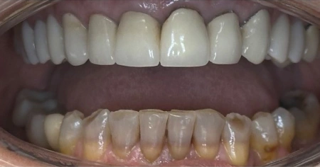
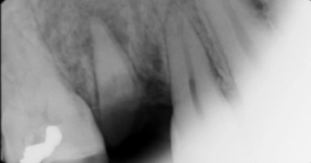
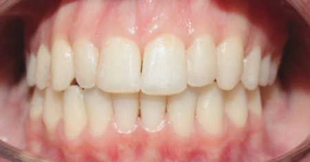
Before

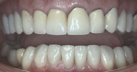
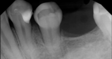
After

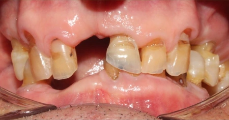
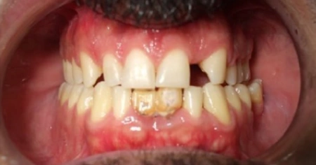
Before

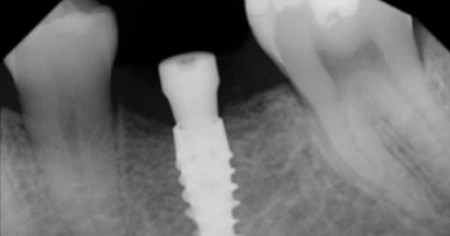
After

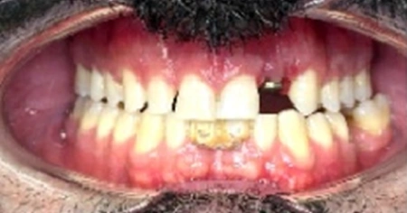
Before

After

Before

After

Before

After

Before

After

Before

After

Before

After

Before

After
Invisalign






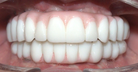
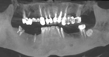
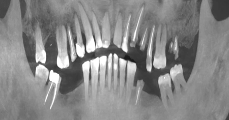
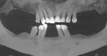
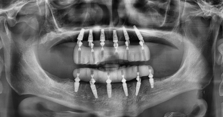
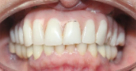
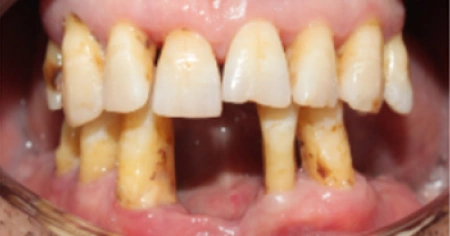
All On X

Before

After

Before

After

Before

After

Before

After

Before

After

Before

After

Before

After
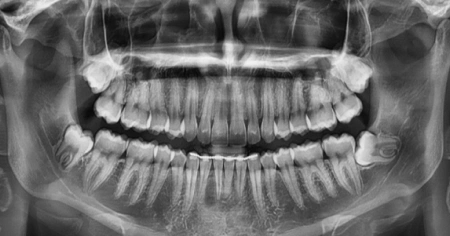
Wisdom Teeth

Before

After

Before

After

Before

After
Zoom Whitening

Before

After

Before

After
Veneers

Before

After
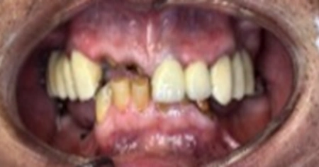
Multi Speciality Case



